Yesterday saw yet another appointment, at yet another hospital…this time for me!
A few months ago, I suffered from chronic face pain…it was horrible, and no painkiller could touch it.
After weeks of doctors appointments etc, I gave in and submitted myself to emergency at our local hospital.
Thankfully, their concern that my cancer had reappeared in my head was unfounded, but I had to go home none the wiser as to what was causing the pain.
I saw a neurologist, who booked me in for an MRI of my head and neck, to ensure nothing was missed.
And yesterday, we went back to see if he had found anything….
My neurologist is great…friendly and happy to explain what the MRI scan was showing.
Even after all these years of being shown scans of my husband’s liver etc, I still find that it is more than a little weird seeing your insides…we were looking at my brain in all it’s glory on a large computer scene…
And I am happy to report that all is as it should be!
What was interesting was that the scans show some white dots in my brain …I don’t know what the technical term is, but apparently they show I suffer from migraines! Bizarre….
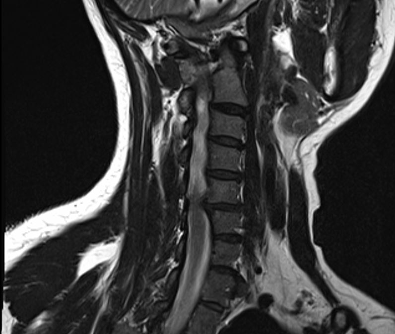
I also had a scan of my neck, and that did show something….one of my discs is a bit out of place…you can see it in the image below…fourth one from the top…
Not a major issue as yet…I don’t have any pain in my neck….and I was relieved that he said no surgery required.
But I do need to be careful not to damage it further…. no heavy weights for me…
So the upshot of all this, is the jury is still out on what exactly is causing my pain…bets are on a rogue migraine that just won’t let go…
Bugger!
I am to continue taking the antidepressants, but up the dose slightly…apparently this should help to “reset” things and show the pain the door!
And if it doesn’t, the dose gets upped further…something I really don’t want to do as it makes me drowsy…
Next appointment in two months…then hopefully that’s it!
As a reminder of my other issues, I then headed across the waiting room, to organise a referral to see my cancer specialist next month…
I tell ya…if it’s not one thing, it’s another…
As my neurologist cheerfully said, things start to fall apart once you hit 40…all this has happened once I hit the big 40 so god knows what will happen when I finally make it to 50


So glad you got the all clear! 🙂
Glad nothing serious going on!
Kerrie Anderson
So glad everything is ok.